Precision relief. Faster recovery. More natural feel.
Overview
A partial knee replacement, also known as a unicompartmental knee replacement, is a procedure where only the damaged part of the knee joint is replaced. The remaining healthy bone, cartilage, and ligaments are preserved. This option is suitable for people with arthritis confined to a single compartment of the knee.
Compared to a total knee replacement, partial replacement allows for a quicker recovery and often results in a knee that feels more natural. In my practice, this surgery is performed with robotic-assisted technology, which provides highly accurate planning and placement of the implant tailored specifically to your knee.
While a partial knee replacement behaves more similarly to your native knee than a total knee replacement, there remains limitations to what you can do. Complications can arise if high impact activities are undertaken routinely, so if this is something that is important to you, a high tibial osteotomy may be more appropriate for you.
Compared to a total knee replacement, partial replacement allows for a quicker recovery and often results in a knee that feels more natural. In my practice, this surgery is performed with robotic-assisted technology, which provides highly accurate planning and placement of the implant tailored specifically to your knee.
While a partial knee replacement behaves more similarly to your native knee than a total knee replacement, there remains limitations to what you can do. Complications can arise if high impact activities are undertaken routinely, so if this is something that is important to you, a high tibial osteotomy may be more appropriate for you.
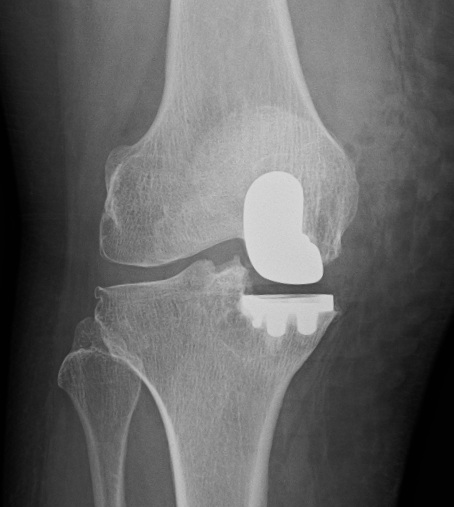
Example of Partial Knee Replacement
A front on view of a partial knee replacement, in this case repalcing the medial, or inside, of the knee
Indications
A partial knee replacement may be an option for you if you have:
Arthritis in only one compartment of the knee (medial, lateral, or kneecap) Good range of motion with intact ligaments (especially ACL)
Partially correctable alignment (minimally bow-legged or knock-kneed)
Pain and stiffness not relieved by physiotherapy, medications, or injections
If you have any pain or arthritis in more than one compartment of your knee, your knee is too stiff, or you have injured ligaments in your knee, a total knee replacement may be more suitable.
If you have any pain or arthritis in more than one compartment of your knee, your knee is too stiff, or you have injured ligaments in your knee, a total knee replacement may be more suitable.
Surgical Approach
Dr Robinson performs partial knee replacements using the minimally invasive subvastus approach using robotic assistance. This method improves the accuracy of component position and allows for patients to recovery more quickly.
During this procedure:
The worn out portion of the joint will be removed Small components are cemented into position to reproduce that surfaces of that portion of the knee The unworn portions of your knee are preserved
Each patient is different — during your consultation, I will assess whether this approach is appropriate for your anatomy, medical history, and goals. In all cases, the aim is a precise, durable result using proven implant technology.
Each patient is different — during your consultation, I will assess whether this approach is appropriate for your anatomy, medical history, and goals. In all cases, the aim is a precise, durable result using proven implant technology.
Risks
The shorter recovery from this procedure, more natural feeling joint and improved function must be weighed against the higher rate of further surgeon when compared with a total knee replacement. There are numerous reasons that further surgery may be required:
Progression of osteoarthritis – as two of the three compartments of the knee are not replaced, they may wear out over the course of the coming decades Stiffness / reduction motion – managed with early mobilisation and diligent physiotherapy Nerve injury or numbness – rare, and mostly temporary Instability – where the ligaments around the knee do not function appropriately, leading to a lack of trust in the knee Fracture during insertion – rare, and typically managed during surgery
Implant wear or loosening over time – most implants last 20+ years Persistent pain or swelling - uncommon, but possible even if the surgery has been performed well technically
We will go through your personal risk profile and ensure that every step is taken to minimise complications and maximise success.
We will go through your personal risk profile and ensure that every step is taken to minimise complications and maximise success.
Recovery Timeline
Most patients recover more quickly from a partial knee replacement than from a total knee replacement. Walking usually starts within hours of surgery, with steady improvement in pain and function over the first 6 weeks.
A typical recovery would be:Hospital stay: 1-2 nights Walking with a frame or crutches: First 1-2 weeks Return to driving: 2 weeks for a left knee (for an automatic car), 4 weeks for a right knee Back to office work or light duties: 2 to 4 weeks Full recovery and return to gentle sport: 3-6 months
Everyone recovers at their own pace. The goal is to restore a hip that feels natural, reliable, and pain-free — allowing you to return to the life you enjoy.
A typical recovery would be:
Everyone recovers at their own pace. The goal is to restore a hip that feels natural, reliable, and pain-free — allowing you to return to the life you enjoy.
Frequently Asked Questions
Will my knee feel normal after a partial knee replacement?
Many patients report that a partial knee replacement feels more natural than a total replacement because the cruciate ligaments and healthy cartilage are preserved. However, most patients still never "forget" they've had a partial knee replacement, in that they are often aware that they have undergone this procedure in daily life.
What activities can I return to after surgery?
You can return to low-impact activities such as walking, cycling, swimming, golf, and hiking. High-impact sports or running may accelerate implant wear and should be discussed individually. A high tibial osteotomy may be a more suitable option if this is a specific goal of yours.
How long will it last?
Modern implants are designed to be durable and often last many years. If arthritis develops in other parts of the knee, conversion to a total knee replacement can usually be performed smoothly.
Can I go home the same day?
While there is a move globally to perform hip replacements on an outpatient basis, this remains uncommon. More frequently, patients are admitted for two nights postoperatively. If you wish to be discharged on the day of surgery, please discuss this in your consult.
What kind of anaesthetic will I have?
This procedure can be done either under a spinal anaesthetic with light sedation, or a general anaesthetic. There are pros and cons of each option. Your anaesthetist will discuss this with you prior to your surgery.
Is the surgery painful?
We use a multimodal pain control approach, including local anaesthetic, nerve blocks, and tailored medication. Pain is usually well managed, and many patients describe it as far less painful than they expected. Most patients are discharged on medications no stronger than paracetamol and ibuprofen.
When can I return to work?
This depends on your job, and varies among individuals:Desk-based work: 2-4 weeks
Light manual work: 6-8 weeks
Heavy or physically demanding roles: 8-12 weeks, depending on your recovery progress
Many patients report that a partial knee replacement feels more natural than a total replacement because the cruciate ligaments and healthy cartilage are preserved. However, most patients still never "forget" they've had a partial knee replacement, in that they are often aware that they have undergone this procedure in daily life.
What activities can I return to after surgery?
You can return to low-impact activities such as walking, cycling, swimming, golf, and hiking. High-impact sports or running may accelerate implant wear and should be discussed individually. A high tibial osteotomy may be a more suitable option if this is a specific goal of yours.
How long will it last?
Modern implants are designed to be durable and often last many years. If arthritis develops in other parts of the knee, conversion to a total knee replacement can usually be performed smoothly.
Can I go home the same day?
While there is a move globally to perform hip replacements on an outpatient basis, this remains uncommon. More frequently, patients are admitted for two nights postoperatively. If you wish to be discharged on the day of surgery, please discuss this in your consult.
What kind of anaesthetic will I have?
This procedure can be done either under a spinal anaesthetic with light sedation, or a general anaesthetic. There are pros and cons of each option. Your anaesthetist will discuss this with you prior to your surgery.
Is the surgery painful?
We use a multimodal pain control approach, including local anaesthetic, nerve blocks, and tailored medication. Pain is usually well managed, and many patients describe it as far less painful than they expected. Most patients are discharged on medications no stronger than paracetamol and ibuprofen.
When can I return to work?
This depends on your job, and varies among individuals:
Ready to Learn More?
If hip pain is holding you back, I’d be happy to meet with you to assess your symptoms, review your imaging, and discuss whether a hip replacement is the right solution. Together, we’ll tailor a plan that suits your lifestyle, goals, and long-term joint health.