Total Knee Replacement
Relieving pain. Restoring movement. Getting you back to life.
Overview
A knee replacement, medically known as a "total knee replacement" as it replaces all cartilage surfaces of the knee, is a reliable and life-changing operation for patients suffering from advanced knee arthritis. When the joint surfaces become worn, inflamed, and painful, a knee replacement restores smooth, painfree movement by replacing the damaged bone and cartilage with a precision-engineered implant.
I perform total knee replacement using robotic-assisted technology where possible, using a muscle-sparing subvastus approach. These techniques allow for improved accuracy, less tissue trauma, and a smoother recovery experience.
For patients that have pain exclusively in just one of the three compartments of the knee, a partial knee replacement may be a more appropriate option.
I perform total knee replacement using robotic-assisted technology where possible, using a muscle-sparing subvastus approach. These techniques allow for improved accuracy, less tissue trauma, and a smoother recovery experience.
For patients that have pain exclusively in just one of the three compartments of the knee, a partial knee replacement may be a more appropriate option.
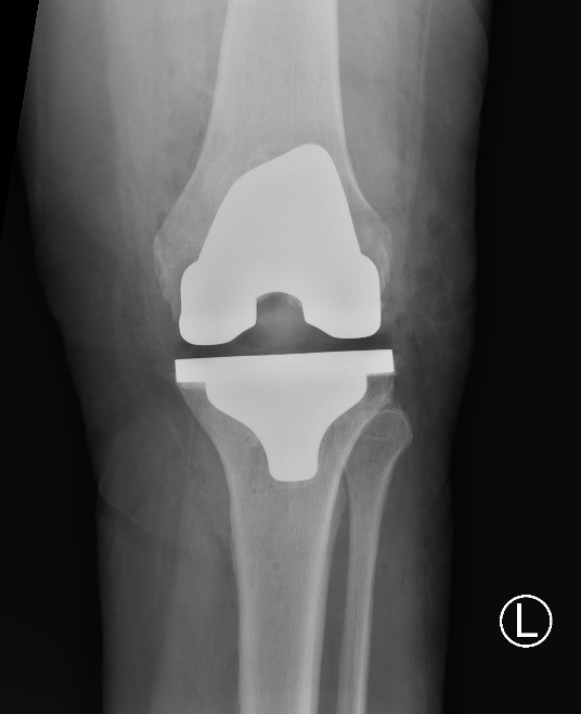
Example of Total Knee Replacement
Front on view of a total knee replacement
Side on view of a total knee replacement
Indications
You may be a candidate for total knee replacement if you have developed arthritis, whic you may experience as:Ongoing knee pain that limits walking, climbing stairs, or standing
Pain that disturbs sleep or daily activities
Swelling, stiffness, or joint deformity
Reduced response to physiotherapy, medications, or injections
The presence of arthritis can typically be diagnosed and graded in severity using x-rays.
The presence of arthritis can typically be diagnosed and graded in severity using x-rays.
Surgical Approach
While there are many ways to perform a total knee replacement, my preference is to use: A robotic-assisted platform (Stryker's Mako robot) that allows precise planning, alignment, and bone preparation
A subvastus (muscle-sparing) approach, which avoids cutting the quadriceps tendon and helps preserve strength
Knee replacements performed using the Mako robot demonstrate lower need for further surgery compared with the same knee replacements implanted using more primative "navigated" or "instrumented" techniques.
Patients undergoing a knee replacement using the subvastus approach experienced less pain, a shorter hospital stay, improved early knee straightening ability and improved early knee function compared with the traditional and much more commonly performed medial parapatellar approach.
During surgery: An incision is made vertically along the front of the knee
The quadriceps muscles attaching to the top of the kneecap are swept to the outside of the knee, rather than cut
The worn cartilage is removed from the femur, tibia and the patella
Smooth metal and polyethylene (plastic) components are placed to restore alignment and function The knee joint is closed with dissolvable sutures
Knee replacements performed using the Mako robot demonstrate lower need for further surgery compared with the same knee replacements implanted using more primative "navigated" or "instrumented" techniques.
Patients undergoing a knee replacement using the subvastus approach experienced less pain, a shorter hospital stay, improved early knee straightening ability and improved early knee function compared with the traditional and much more commonly performed medial parapatellar approach.
During surgery:
Risks
Although total knee replacement is a safe and well-established procedure, all surgery carries some risk.
These include:Infection – rare but serious; minimised with antibiotics and sterile technique Blood clots (DVT/PE) – reduced by early walking, compression devices, and anticoagulants
Stiffness / reduction motion – managed with early mobilisation and diligent physiotherapy Nerve injury or numbness – rare, and mostly temporary Instability – where the ligaments around the knee do not function appropriately, leading to a lack of trust in the knee Fracture during insertion – rare, and typically managed during surgery
Implant wear or loosening over time – most implants last 20+ years Persistent pain or swelling - uncommon, but possible even if the surgery has been performed well technically
We will go through your personal risk profile and ensure that every step is taken to minimise complications and maximise success.
These include:
We will go through your personal risk profile and ensure that every step is taken to minimise complications and maximise success.
Recovery Timeline
Total knee replacement recovery is gradual but rewarding. You’ll start moving the knee almost immediately after surgery and work closely with physiotherapists to ensure that your range of motion is maximised. It's important to be diligent with all exercises prescribed to you to prevent your knee from scarring in a manner that prevents full straightening or full bending.
A typical recovery would be:Hospital stay: 2 nights Walking with a frame or crutches: First 1-2 weeks Return to driving: 2 weeks for a left knee (for an automatic car), 4 weeks for a right kneer Back to office work or light duties: 2 to 4 weeks Full recovery and return to gentle sport: 3-6 months
A typical recovery would be:
Frequently Asked Questions
Will my knee feel normal after surgery?
Robotic assistance allows for more precise and reliable implant positioning, ligament balancing, and customisation to suit your anatomy. However, not all orthopaedic robots are equal. Stryker's Mako is the only robot in the Australian Orthopaedic Association's National Joint Replacement Registry to demonstrate statistically improved knee replacement longevity when resurfacing the patella, compared with traditional methods. Dr Robinson is fellowship trained in the use of the Mako robot.
What is the subvastus approach and why is it used?
The subvastus approach avoids cutting the quadriceps tendon and preserves muscle function. This can lead to faster recovery, better early mobility, and less post-operative pain.
How long will my knee replacement last?
Most modern implants last 15–25 years or more, depending on your weight, activity level, and implant design. We select durable implants suited to your needs.
Can I kneel after a knee replacement?
Many patients can kneel again after surgery, although some find it uncomfortable at first. We’ll guide you through safe ways to try this once healing allows.
Will I be able to return to sport?
Yes — most people return to low-impact activities like walking, cycling, golf, swimming, and hiking. Running and other high-impact sports are not recommended due to wear risk.
What kind of anaesthetic will I have?
This procedure can be done either under a spinal anaesthetic with light sedation, or a general anaesthetic. There are pros and cons of each option. Your anaesthetist will discuss this with you prior to your surgery.
Is the surgery painful?
We use a multimodal pain control approach, including local anaesthetic, nerve blocks, and tailored medication. Pain is usually well managed, and many patients describe it as far less painful than they expected. Most patients are discharged on medications no stronger than paracetamol and ibuprofen.
Is it normal to hear clicking in the new knee?
Yes — most patients notice a clicking or tapping sound, especially early on. This is due to the movement of the implant and is generally not a cause for concern.
Will I need physiotherapy after surgery?
Absolutely. A structured rehab program is essential. It helps restore flexibility, strength, and confidence in your new knee.
What if I’ve had previous surgery or deformity?
Total knee replacement can still be performed. Robotic assistance is especially helpful in these cases to plan and execute the surgery with precision.
Robotic assistance allows for more precise and reliable implant positioning, ligament balancing, and customisation to suit your anatomy. However, not all orthopaedic robots are equal. Stryker's Mako is the only robot in the Australian Orthopaedic Association's National Joint Replacement Registry to demonstrate statistically improved knee replacement longevity when resurfacing the patella, compared with traditional methods. Dr Robinson is fellowship trained in the use of the Mako robot.
What is the subvastus approach and why is it used?
The subvastus approach avoids cutting the quadriceps tendon and preserves muscle function. This can lead to faster recovery, better early mobility, and less post-operative pain.
How long will my knee replacement last?
Most modern implants last 15–25 years or more, depending on your weight, activity level, and implant design. We select durable implants suited to your needs.
Can I kneel after a knee replacement?
Many patients can kneel again after surgery, although some find it uncomfortable at first. We’ll guide you through safe ways to try this once healing allows.
Will I be able to return to sport?
Yes — most people return to low-impact activities like walking, cycling, golf, swimming, and hiking. Running and other high-impact sports are not recommended due to wear risk.
What kind of anaesthetic will I have?
This procedure can be done either under a spinal anaesthetic with light sedation, or a general anaesthetic. There are pros and cons of each option. Your anaesthetist will discuss this with you prior to your surgery.
Is the surgery painful?
We use a multimodal pain control approach, including local anaesthetic, nerve blocks, and tailored medication. Pain is usually well managed, and many patients describe it as far less painful than they expected. Most patients are discharged on medications no stronger than paracetamol and ibuprofen.
Is it normal to hear clicking in the new knee?
Yes — most patients notice a clicking or tapping sound, especially early on. This is due to the movement of the implant and is generally not a cause for concern.
Will I need physiotherapy after surgery?
Absolutely. A structured rehab program is essential. It helps restore flexibility, strength, and confidence in your new knee.
What if I’ve had previous surgery or deformity?
Total knee replacement can still be performed. Robotic assistance is especially helpful in these cases to plan and execute the surgery with precision.
Ready to Learn More?
If hip pain is holding you back, I’d be happy to meet with you to assess your symptoms, review your imaging, and discuss whether a hip replacement is the right solution. Together, we’ll tailor a plan that suits your lifestyle, goals, and long-term joint health.