Hip Arthroscopy
Minimally invasive. Precisely targeted. Faster recovery.
Overview
Rather than being an independent procedure in itself, hip arthroscopy is a term used to describe a minimally invasive “keyhole” technique used to diagnose and treat a variety of hip joint problems. Small incisions and a tiny camera (arthroscope) allow the surgeon to see inside the joint and perform precise treatments without the need for a large incision.
Typical treatments commonly undertaken via a hip arthroscopy include repair or reconstruction of a torn labrum as a result of dysplasia or impingement, resection of impinging bone on the femoral neck (cam lesion) or acetabular rim (pincer lesion), capsular repair or removal of loose bodies.
Hip arthroscopy can relieve pain, improve hip movement, and in many cases help preserve the natural joint, delaying or preventing the need for a hip replacement or hip resurfacing.
Typical treatments commonly undertaken via a hip arthroscopy include repair or reconstruction of a torn labrum as a result of dysplasia or impingement, resection of impinging bone on the femoral neck (cam lesion) or acetabular rim (pincer lesion), capsular repair or removal of loose bodies.
Hip arthroscopy can relieve pain, improve hip movement, and in many cases help preserve the natural joint, delaying or preventing the need for a hip replacement or hip resurfacing.
Indications
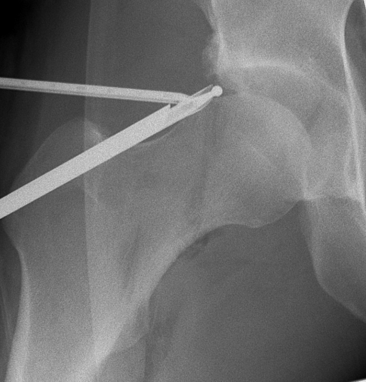
Intraoperative x-ray taken during a hip arthroscopy removing a pincer lesion of the acetabular rim
Indications
Hip arthroscopy may be recommended for:
Femoroacetabular impingement (FAI) – extra bone around the hip that causes painful pinching or restricted motion. This can either be extra bone on the pelvis side (pincer lesion) or femur side (cam lesion)
Labral tears – damage to the cartilage that forms a seal around the socket, either as a result of impingement or dysplasia
Loose bodies – fragments of cartilage or bone inside the joint
Cartilage damage – early arthritis or focal cartilage injuries
Snapping hip syndrome painful tendon irritation or catching
Surgical Approach
Hip arthroscopy may be used as a standalone procedure, or in combination with other procedures such as periacetabular or femoral osteotomies, either in the same operation or in a staged setting (e.g. the following week).
There are multiple components to a hip arthroscopy:Incisions - Two or three small cuts (about 1 cm each) are made around the hip Arthroscope - A small camera is inserted into the hip joint to visualise the joint on a external monitor Treatment -Special instruments are used to repair or reshape structures, such as repairing, reconstructing or debriding a torn labrum, trimming excess bone, smoothing cartilage, or removing loose bodies. Closure - The hip joint capsule is stitched with a strong stitch, your incisions are closed with disolvable stitches and then dressings are applied
There are multiple components to a hip arthroscopy:
Risks
Although hip arthroscopy is generally safe, risks include:
Infection – managed with sterile technique and perioperative antibiotics
Blood clots (DVT/PE) – reduced by early walking, compression devices, and anticoagulants
Ongoing pain, instability or stiffness – if there are multiple sources of your pain, a hip arthroscopy may not be able to resolve all of these reasons
Cartilage or bone injury – very rarely, damage can occur through the use of the camera and tools as part of the procedure
Nerve or vessel irritation – this may result in excessive bruising or altered sensation to areas of skin around the hip
Recovery Timeline
Recovery from a hip arthroscopy varies based on the individual treatments undertaken for each patient.
A typical recovery would be:Hospital stay: 1 night hospital stay Walking with crutches: First 2-4 weeks Return to driving: 2-4 weeks Back to office work or light duties: 2 to 4 weeks Full recovery and return to gentle sport: 3-6 months
Everyone recovers at their own pace. The goal is to restore a hip that feels natural, reliable, and pain-free — allowing you to return to the life you enjoy.
A typical recovery would be:
Everyone recovers at their own pace. The goal is to restore a hip that feels natural, reliable, and pain-free — allowing you to return to the life you enjoy.
Frequently Asked Questions
How do I know if I’m suitable for hip arthroscopy?
Hip arthroscopy works best for younger patients without advanced arthritis. Imaging and a clinical exam help determine suitability.
Will hip arthroscopy prevent me from needing a hip replacement later?
It can delay or prevent arthritis progression by addressing mechanical problems early, but if arthritis is already advanced, a hip replacement or resurfacing may still be needed in the future.
How painful is recovery?
Most patients report mild to moderate pain for the first week, managed with tablets. Pain usually improves as movement returns.
Can the labrum always be repaired?
In the majority of patients, the labrum is repairable, in which case Dr Robinson will repair it using a number of "anchors", strong stitches embedded within the bone to tether the torn labrum down. When the tissue quality of the labrum is poorer, a labral reconstruction (replacing the labrum with other tissue), or labral debridement (removing the torn portion of the labrum) may be performed.
How successful is hip arthroscopy
This depends greatly on the condition that the hip arthrscopy is treating, and the presence of underlying arthritis. Hip arthroscopy is very successful at relieving symptoms associated with impingement, labral tears or loose bodies, and in managing dysplasia when used in combination with a periacetabular osteotomy.
Hip arthroscopy works best for younger patients without advanced arthritis. Imaging and a clinical exam help determine suitability.
Will hip arthroscopy prevent me from needing a hip replacement later?
It can delay or prevent arthritis progression by addressing mechanical problems early, but if arthritis is already advanced, a hip replacement or resurfacing may still be needed in the future.
How painful is recovery?
Most patients report mild to moderate pain for the first week, managed with tablets. Pain usually improves as movement returns.
Can the labrum always be repaired?
In the majority of patients, the labrum is repairable, in which case Dr Robinson will repair it using a number of "anchors", strong stitches embedded within the bone to tether the torn labrum down. When the tissue quality of the labrum is poorer, a labral reconstruction (replacing the labrum with other tissue), or labral debridement (removing the torn portion of the labrum) may be performed.
How successful is hip arthroscopy
This depends greatly on the condition that the hip arthrscopy is treating, and the presence of underlying arthritis. Hip arthroscopy is very successful at relieving symptoms associated with impingement, labral tears or loose bodies, and in managing dysplasia when used in combination with a periacetabular osteotomy.
Ready to Learn More?
If hip pain is holding you back, I’d be happy to meet with you to assess your symptoms, review your imaging, and discuss whether a hip replacement is the right solution. Together, we’ll tailor a plan that suits your lifestyle, goals, and long-term joint health.