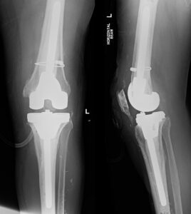
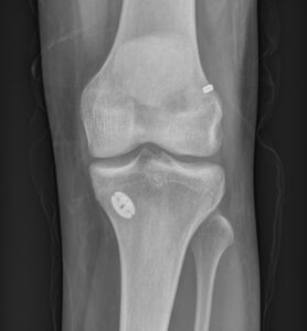
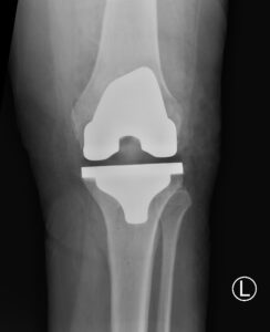
Knee Procedures Total Knee Replacement A knee replacement is a surgical procedure in which damaged or worn-out parts of the knee joint are removed and replaced with artificial components. It is typically done to reduce pain and improve function in people with severe knee joint damage, often caused by arthritis or injury. Partial Knee Replacement A knee replacement is a surgical procedure in which damaged or worn-out parts of the knee joint are removed and replaced with artificial components. It is typically done to reduce pain and improve function in people with severe knee joint damage, often caused by arthritis or injury. Revision Knee Replacement Revision knee replacement is a surgical procedure to replace or repair a previous knee prosthesis that has become loose, worn out, or infected. It involves removing the old implant and installing a new one to restore knee function and relieve pain. High Tibial Osteotomy High tibial osteotomy is a surgery that involves cutting and reshaping the upper part of the shinbone (tibia) to realign the knee joint. It is often performed to relieve arthritis pain in young, active patients by shifting weight away from damaged cartilage. ACL Reconstruction ACL reconstruction is a surgical procedure to replace a torn anterior cruciate ligament (ACL) in the knee with a graft, usually taken from the patient's own tissue or a donor. It aims to restore stability and allow return to normal activity levels following ligament injury. Meniscal Surgery Meniscal surgery involves repairing or removing damaged meniscal cartilage in the knee, which cushions and stabilizes the joint. The procedure can help relieve pain, restore knee function, and prevent further joint degeneration. Patellofemoral Stabilisation Patellofemoral stabilisation is a procedure to realign or secure the kneecap (patella) when it tends to dislocate or drift out of place. It aims to improve knee stability and prevent recurrent dislocations or pain.