Request appointment
Revision Knee Replacement

Reviving lost function. Restoring mobility. Regaining life.

Overview

Revision total knee replacement is surgery to remove and replace part or all of a previous knee implant when it has worn out, loosened, become unstable, infected, or otherwise failed. The goals are to relieve pain, correct alignment and leg length, rebuild bone where needed, and restore a reliable, stable knee for everyday life.

This surgery often requires advanced planning, experienced surgical technique, and close post-operative care — all of which I provide as part of a carefully tailored approach for each individual patient, based on the reason for failure of their previous knee replacement and your goals.

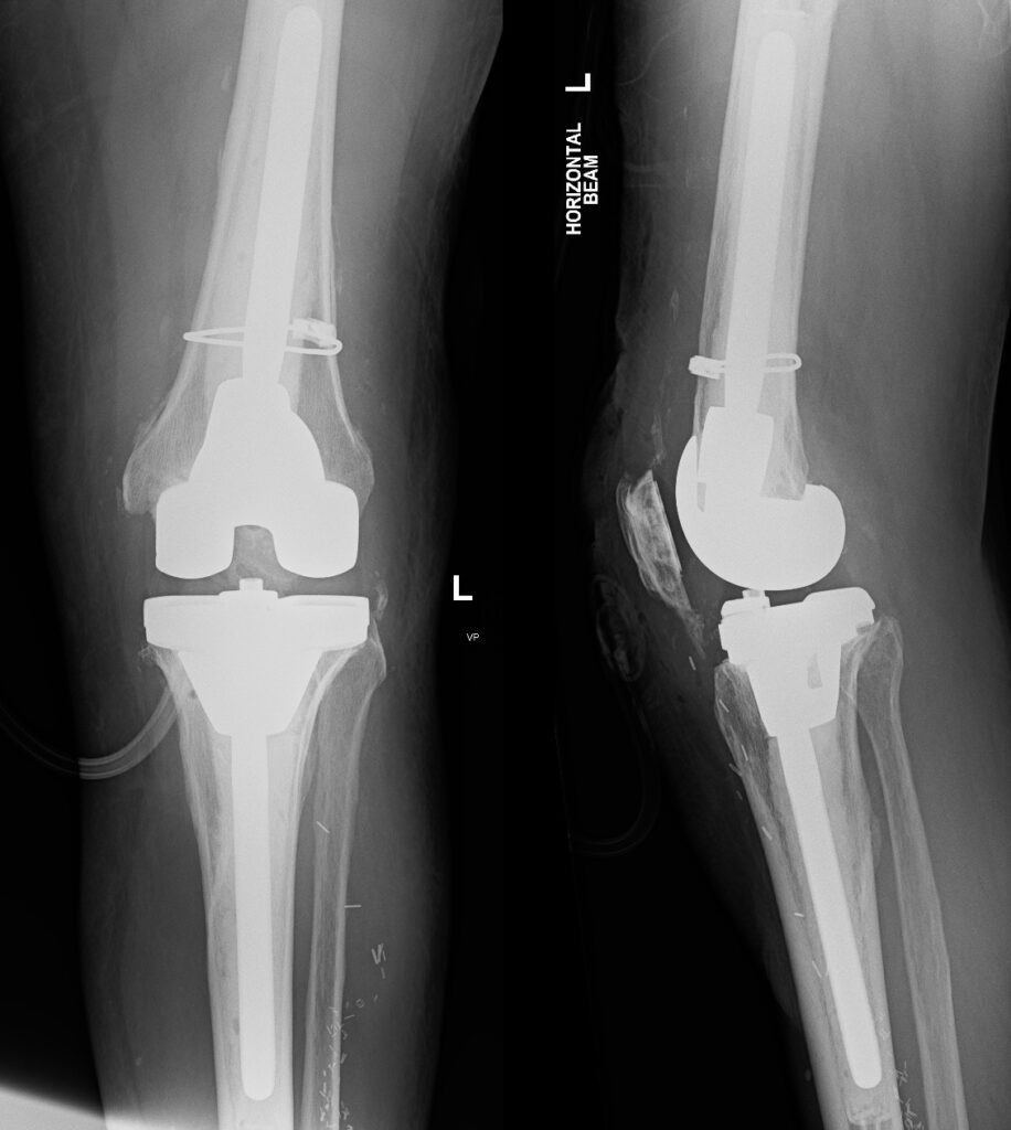
Example of Revision Total Knee Replacement

Xray Revision TKR
A front on view and side on view of a revision total knee replacement

Indications

You may be a candidate for revision knee replacement if your knee replacement has failed due to:
  • Aseptic loosening - the implants are no longer fixed to bone, in the absence of infection
  • Prosthetic joint infection - when your knee replcement has developed infection
  • Instability - when the ligaments around your knee replacement are no longer functional, causing a lack of confidence
  • Fracture - where the bone surrounding your knee replacement breaks, compromising the integrity of your knee
  • Wear and osteolysis - when the plastic component of your knee replacement wears out, causing erosion of the surrounding bone. Very rare in the modern era with highly advanced plastics
  • Stiffness - when excessive scarring prevents full bending or straightening of your knee replacement

  • We assess each case with a combination of a detailed history, examination and investigations such as x-rays, advanced imaging, blood tests, and sometimes joint aspiration before discussing whether you would benefit from a revision of your knee replacement.

    Surgical Approach

    Revision surgery is more involved than primary knee replacement. It often requires:
  • Assessment and planning - clinical review, imaging and blood tests to ascertain the cause of failure, and 3D planning to determine appropriate replacement parts and sizes
  • Exposure and Removal - Careful incision and exposure of the knee joint, allowing safe removal of failed components whilst protecting the integrity of the remaining bone and soft tissue structures
  • Debridement - in the setting of infection, removal of all potentially infected material to eradicate all bacteria
  • Reconstruction of bone defects with sleeves, cones, augments or bone graft as  required, achieving fixation with stems and selecting appropriate levels of constraint to maintain the function of the knee joint

  • In the presence of infection, more than one operation is often required. In the first procedure, the previous infected knee replacement is removed, along with all infected tissue, and a "spacer" is inserted which is designed to cure the infection and maintain the knee joint cavity. The second procedure is the reimplantation of a final revision knee replacement after the infection has been appropriately managed, often 6-12 weeks after the first procedure. 

    Risks

    Revision knee replacement carries a slightly higher risk profile than first time surgery:
  • Infection – more common, particularly in cases of previous infection
  • Stiffness and persistent pain – higher risk due to previously surgical scarring, and potential for management with a knee brace
  • Blood Loss– may be more likely in complex reconstructions, managed with a blood transfusion if required
  • Nerve or vessel injury – still rare, but more likely due to scarring from previous surgery
  • Instability or dislocation – minimised with careful preoperative planning
  • Fracture – possible during removal of previous components or insertion of revision components
  • Implant wear or loosening over time – less common with modern revision systems

    We take every precaution to reduce these risks and provide long-term success.
  • Recovery Timeline

    Recovery is typically slower than a primary knee replacement, but the goal remains the same — to regain reliable, pain-free mobility.

    A typical recovery would be:
  • Hospital stay: 2-4 nights
  • Walking with a frame or crutches: 2-6 weeks, depending on the nature of the revision
  • Return to driving: 4-12 weeks, depending on the specific surgery required
  • Back to office work or light duties: 4-6 weeks
  • Full recovery and return to gentle sport: 3-6 months, depending on complexity

  • Revision for infection may require a staged approach (temporary spacer, followed by second surgery), which involves longer rehabilitation.

    Frequently Asked Questions

    What is the difference between a primary and revision knee replacement?
    Primary knee replacement is the first-time surgery, while revision replaces or adjusts the existing components when they fail. Revision surgery is often more complex and requires longer recovery.

    How do I know if my knee replacement has failed?
    Persistent pain, instability, a limp, wound issues, or changes seen on X-rays or blood tests may indicate failure. Evaluation involves clinical examination and imaging.

    Can a revision be done in one operation?
    Yes, in most cases. However, if infection is present, a two-stage approach is often used — first removing the implant and treating the infection, then placing the new implant in a second surgery.

    Are revision implants different?
    Yes. They are often longer, modular, or augmented to compensate for bone loss and ensure stable fixation.

    How do you decide between single-stage and two-stage revision for infection?
    It depends on the organism, its sensitivity to antibiotics, tissue quality, and your health. Both aim to eradicate infection; two-stage uses a temporary antibiotic spacer before re-implantation.

    Will my knee bend as well as after my first replacement?
    Many patients achieve functional bend for daily activities, but range can be limited by scar tissue, prior surgery, and the complexity of reconstruction. Early, guided rehab is key.

    What can I do to optimise my outcome?
    Stop smoking, manage weight and diabetes, maintain good nutrition and skin/dental health, follow blood-clot prevention, and commit to your rehab plan.

    Will my leg feel the same length/alignment after surgery?
    Whilst your first knee replacement is often aligned to the natural shape of your knee, maximising function, a revision knee replacement often prioritises longevity. This means that your knee is likely to be more straight, rather than slightly bow-legged. It is very uncommon for patients to percieve a leg length alteration after a revision knee replacement.

    Will recovery be harder than the first knee replacement?
    It can be more involved, but with experienced care, most patients regain excellent function. You may need more physiotherapy and a longer period of walking aids.

    Is the outcome as good as a first knee replacement?
    While not always identical to a primary replacement, outcomes are still excellent in most patients, with significant pain relief and functional improvement.

    Ready to Learn More?

    If hip pain is holding you back, I’d be happy to meet with you to assess your symptoms, review your imaging, and discuss whether a hip replacement is the right solution. Together, we’ll tailor a plan that suits your lifestyle, goals, and long-term joint health.
    Request appointment
    Scroll to Top