High Tibial Osteotomy
Realigning the limb. Reducing pain. Preserving your knee.
Overview
High tibial osteotomy is a joint-preserving operation used to treat medial (inner) knee osteoarthritis caused or aggravated by varus malalignment (“bow-legged” alignment). By making a precise cut in the upper tibia and changing the angle of the bone, your body weight is shifted away from the worn inner compartment toward the healthier outer compartment. This reduces pain, improves function, and can delay or avoid knee replacement in active patients.
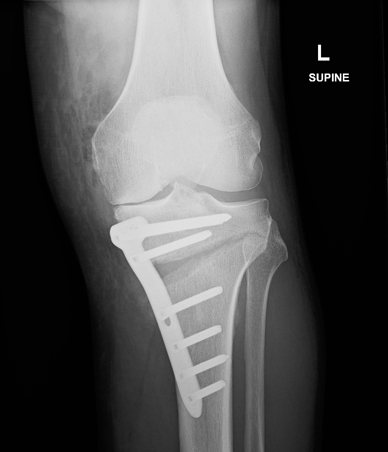
Example of High Tibial Osteotomy
A high tibial osteotomy,
Indications
HTO may be recommended when you have:
Unicompartmental (medial) knee pain with varus alignment
Preserved range of motion and ligaments
Focal cartilage wear on the medial side, with relatively healthy lateral and patellofemoral compartments
Symptoms despite non-operative care (physio, weight optimisation, bracing, injections) You are young, active and wish to keep your own knee for longer
Alternatives to a high tibial osteotomy are a partial knee replacement or a total knee replacement, however a high tibial osteotomy preserves your ability to run and undertake other high impact activities, which is why it is an option in more active individuals.
Alternatives to a high tibial osteotomy are a partial knee replacement or a total knee replacement, however a high tibial osteotomy preserves your ability to run and undertake other high impact activities, which is why it is an option in more active individuals.
Surgical Approach
Risks
All surgeries carry risks. Specific risks of a HTO include:
Hinge fracture: When the osteotomy completes from the inside to the outside of the knee, making the correction less stable. Further screws or an additional plate on the outside of your leg may be required to obtain adequate fixation. Non-union or delayed union: Whilst rare, an osteotomy is essentially a fracture in bone that isn't guaranteed to heal Nerve or vessel injury: prevented by careful protection of these structures during the procedure Stiffness or ongoing pain: as the arthritic portion of the knee is not removed, persistent pain is common Further surgery: The plate is typically quite prominent in this area of the body and is routinely removed 12 months post surgery. Knee replacement surgery is often required in the future, but this is normally delayed by the HTO surgery longer rehabilitation.
Recovery Timeline
A typical recovery would be:Hospital stay: 1-2 nights Walking with a frame or crutches: 3-6 weeks, depending on the magnitude of correction required Return to driving: 4-6 weeks, depending depending on the magnitude of correction required Back to office work or light duties: 3-6 weeks Full recovery and return to gentle sport: 3-6 months
Frequently Asked Questions
How long can HTO delay a knee replacement?
Many patients gain years if not a decade or more of symptom relief; longevity depends on your age, activity, cartilage status, and maintaining a healthy weight. This is important, as there is a drastic reduction in the revision rate of knee replacement surgery with increasing patient age.
What does “target alignment” mean?
Prior to surgery, a line between the middle of your hip joint and middle of your ankle joint, your "weight bearing line" runs through the inside half of your knee, increasing the load through this portion of the knee leading to premature wear. We plan the correction so your weight-bearing line shifts slightly toward the lateral compartment (typically 60% of the way to the outside of your knee), unloading the painful medial side.
Is opening-wedge better than closing-wedge?
Both work well. Opening-wedge is common, allows fine-tuning, and preserves bone; closing-wedge can heal faster and avoids a gap, but can make future knee replacement more difficult and less reliable.
What can I do to optimise results?
Stop smoking, optimise vitamin D and nutrition, manage weight, follow your rehab plan, and avoid impact loading until cleared.
Many patients gain years if not a decade or more of symptom relief; longevity depends on your age, activity, cartilage status, and maintaining a healthy weight. This is important, as there is a drastic reduction in the revision rate of knee replacement surgery with increasing patient age.
What does “target alignment” mean?
Prior to surgery, a line between the middle of your hip joint and middle of your ankle joint, your "weight bearing line" runs through the inside half of your knee, increasing the load through this portion of the knee leading to premature wear. We plan the correction so your weight-bearing line shifts slightly toward the lateral compartment (typically 60% of the way to the outside of your knee), unloading the painful medial side.
Is opening-wedge better than closing-wedge?
Both work well. Opening-wedge is common, allows fine-tuning, and preserves bone; closing-wedge can heal faster and avoids a gap, but can make future knee replacement more difficult and less reliable.
What can I do to optimise results?
Stop smoking, optimise vitamin D and nutrition, manage weight, follow your rehab plan, and avoid impact loading until cleared.
Ready to Learn More?
If hip pain is holding you back, I’d be happy to meet with you to assess your symptoms, review your imaging, and discuss whether a hip replacement is the right solution. Together, we’ll tailor a plan that suits your lifestyle, goals, and long-term joint health.